Informasi
8 November 2024
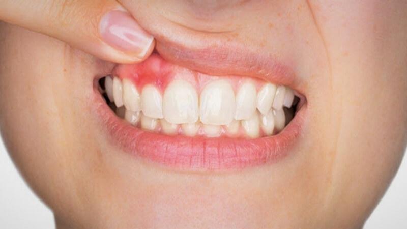
Gusi Bengkak dan Nyeri: Penyebab, Gejala, dan Cara Mengobati
By drg. Anjasari Evanata
17.712
Gusi bengkak dan nyeri merupakan salah satu kondisi medis yang umumnya disebabkan oleh penyakit gigi atau gusi, seperti gigi berlubang, sariawan parah, dan sebagainya. Rasa nyeri yang dihasilkan bisa mengganggu aktivitas sehari-hari, tapi sebenarnya cukup mudah untuk ditangani.
Namun, penanganan yang terlambat atau tidak tepat dapat menyebabkan komplikasi berat seperti periodontitis (infeksi gusi). Kondisi ini bisa mengganggu atau bahkan melumpuhkan fungsi mulut seperti untuk berbicara dan makan. Karena itu, jangan sepelekan masalah gusi bengkak terutama jika sudah lama.
Penyebab Gusi Bengkak dan Nyeri
- Infeksi Bakteri
Infeksi bakteri menjadi salah satu penyebab utama dari gusi bengkak, yang jika terlambat mendapat pengobatan bisa menyebabkan masalah serius seperti periodontitis atau gingivitis.
Keduanya merupakan infeksi gusi serius yang tidak hanya dapat merusak gusi namun juga merusak jaringan lunak dan tulang rahang atau tulang penyangga gigi.
- Plak dan Tartar
Penyebab gusi bengkak lainnya adalah plak dan tartar. Plak berasal dari tumpukan sisa makanan dan zat-zat lain yang terjebak di dalam gigi atau area lain di dalam mulut.
Jika tidak dibersihkan dengan benar atau dibiarkan dalam jangka waktu lama, plak akan mengeras dan membentuk karang gigi yang juga memicu pertumbuhan bakteri. Kondisi inilah yang dapat menimbulkan iritasi pada gusi dan menyebabkan rasa nyeri serta pembengkakan.
Sedangkan tartar merupakan istilah lain untuk menyebut karang gigi yang sudah mengeras seperti semen dan biasanya tidak dapat dibersihkan dengan sikat biasa.
Karang gigi maupun tartar tidak boleh dibersihkan sendiri dengan cara dicongkel karena bisa menyebabkan luka dan pendarahan yang berujung komplikasi. Anda harus melakukan perawatan pembersihan ke dokter gigi.
- Gigi Berlubang atau Gigi Bungsu
Gigi berlubang adalah kondisi gigi yang lapisan luarnya telah rusak dan membuat bagian dalam terkikis seiring waktu hingga membentuk lubang.
Kebiasaan mengkonsumsi minuman dan makanan manis dalam jangka waktu lama dan dengan takaran yang berlebih, kemudian tidak diimbangi dengan pembersihan yang tepat dapat memicu penumpukan bakteri. Nah, bakteri inilah yang menyebabkan gigi berlubang.
Sedangkan untuk gusi bengkak di bagian belakang, biasanya karena pertumbuhan gigi bungsu yang tidak pada tempatnya. Gigi bungsu sendiri merupakan gigi yang tumbuh paling terakhir di usia 17-25 tahun.
Letaknya ada di geraham belakang. Kurangnya tempat tumbuh membuat gigi bungsu miring atau tidak keluar sempurna. Kondisi ini menimbulkan rasa sakit, pembengkakan, hingga peradangan pada gusi.
- Trauma
Tak selalu disebabkan oleh kondisi medis, trauma gigi yang disebabkan oleh kecelakaan atau salah menyikat gigi juga dapat memicu gusi bengkak disertai nyeri.
Sebagian orang memiliki kebiasaan menyikat gigi secara terburu-buru dan dengan tekanan yang kuat karena dianggap dapat mengangkat kotoran secara maksimal.
Padahal nyatanya, cara ini justru bisa melukai gusi dan menyebabkan pembengkakan bahkan pendarahan. Dokter juga tidak merekomendasikan penggunaan sikat gigi dengan bulu kasar karena bisa mengiritasi gusi. Sedangkan untuk faktor kecelakaan biasanya bukan bukan hal yang bisa dihindari.
- Kekurangan Vitamin
Bukan mitos belaka jika ada yang mengatakan bahwa vitamin C merupakan salah satu obat gusi bengkak. Kekurangan vitamin C dapat menurunkan imunitas dan jaringan ikat di dalam tubuh, sehingga meningkatkan resiko penyakit termasuk masalah pada rongga mulut.
Salah satu tanda kekurangan vitamin C adalah mudah sariawan, yang juga bisa menyebabkan pertumbuhan bakteri dan memicu gusi bengkak.
Kondisi kesehatan lain yang dapat memicu gusi bengkak bernanah adalah diabetes. Hal ini karena peradangan lebih sering terjadi pada penderita diabetes. Kadar glukosa yang tinggi terkandung di dalam air liur yang memicu pertumbuhan bakteri.
Ketika bakteri bergabung dengan sisa makanan dan zat lain di dalam mulut, maka bisa membentuk lapisan lengket bernama plak. Jika tumpukan plak semakin banyak dan mengeras, maka bisa menyebabkan berbagai penyakit mulut termasuk gusi bengkak.
Gejala Gusi Bengkak dan Nyeri
- Pembengkakan: gusi berwarna lebih merah dari biasanya dan terlihat menonjol / bengkak.
- Nyeri dan sensitivitas: pembengkakan disertai dengan rasa tidak nyaman atau nyeri yang membuat area ini lebih sensitif saat menyikat gigi atau ketika mengunyah makanan.
- Pendarahan: sensitivitas yang meningkat membuat gusi bengkak lebih mudah terluka dan berdarah, seperti saat disentuh atau tidak sengaja terkena sikat gigi.
- Bau mulut: gusi dan gigi yang sedang terkena infeksi bakteri biasanya akan menimbulkan aroma mulut tidak sedap lebih dari biasanya.
Cara Mengobati Gusi Bengkak dan Nyeri
Gusi nyeri terus menerus dapat mengganggu aktivitas, dan bahkan menurunkan selera makan. Atasi kondisi ini dengan sejumlah cara berikut:
- Kebersihan Mulut
Selalu jaga kebersihan mulut, bahkan ketika kondisi gusi sedang bengkak. Anda tetap disarankan untuk menyikat gigi 2x sehari, dan jika perlu gunakan benang gigi untuk menjangkau sisa makanan yang terselip di antara gigi. Namun, hindari menyikat pada area yang sedang bengkak.
- Obat Kumur Antiseptik
Obat kumur dapat menyegarkan mulut, mencegah dan melawan pertumbuhan bakteri, serta mengurangi peradangan penyebab gusi bengkak.
- Kompres Dingin
Pembengkakan pada gusi bisa diredakan dengan kompres air dingin. Tempelkan kompres pada area pipi yang bengkak selama 5-10 menit, dan ulangi beberapa kali hingga membaik. Sedangkan untuk nyeri bisa menggunakan kompres hangat.
- Obat Pereda Nyeri
Jika kondisi tidak membaik atau justru memburuk setelah beberapa menerapkan beberapa cara di atas, segera konsumsi obat untuk gusi bengkak yang bisa didapat dari apotek, seperti paracetamol atau ibuprofen. Namun, sebaiknya konsultasikan terlebih dulu dengan apoteker.
- Hindari Makanan dan Minuman Tertentu
Selama kondisi gusi bengkak dan nyeri belum membaik, sebaiknya hindari makanan dan minuman dingin, alkohol, terlalu pedas, dan panas karena bisa menyebabkan iritasi pada gusi.
- Konsultasi dengan Dokter Gigi
Jika pembengkakan dan rasa nyeri semakin parah atau tidak menunjukkan tanda-tanda membaik, segera periksakan diri ke FDC Dental Clinic untuk mendapat pemeriksaan dan perawatan profesional dari dokter gigi.
Kesimpulan
Jaga asupan vitamin C Anda dan selalu jaga kebersihan mulut untuk mencegah gusi bengkak dan nyeri. Hindari terlalu banyak makanan dan minuman manis, serta rutin ke dokter gigi untuk memastikan kondisi kesehatan gigi dan untuk mendapat perawatan pembersihan professional.
© 2026 FDC Dental Clinic
