Informasi
24 Oktober 2024
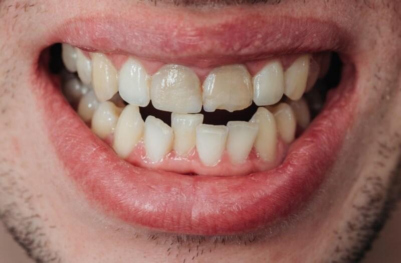
Gigi Keropos: Gejala, Penyebab, dan Cara Mengatasinya
By drg. Ellora Gavrila
4.702
Gigi keropos adalah kondisi rusaknya gigi akibat pengikisan enamel atau lapisan terluar gigi. Kondisi ini biasanya disebabkan oleh zat asam dari sisa makanan dan mikroorganisme di dalam mulut. Apabila tidak dibersihkan, asam akan terus mengikis enamel gigi sehingga menjadi rapuh.
Sangat penting untuk menjaga kebersihan mulut agar gigi terhindar dari keropos. Ada beberapa cara yang bisa dilakukan, mulai dari menyikat gigi secara teratur untuk mencegah perkembangan bakteri di dalam mulut, menggunakan obat kumur, dan menghindari makanan atau minuman manis.
Penyebab Gigi Keropos
Ada beberapa faktor yang menyebabkan gigi keropos seperti kebiasaan buruk tidak menyikat gigi secara rutin hingga konsumsi makanan manis berlebih. Berikut ini beberapa penyebab gigi keropos yang perlu diwaspadai.
- Konsumsi Makanan dan Minuman Manis dan Asam
Makanan yang tinggi gula sangat disukai oleh bakteri. Koloni bakteri di dalam mulut akan berinteraksi dengan gula dan mengubahnya menjadi asam sehingga mengikis lapisan enamel gigi. Makanan atau minuman dengan rasa asam juga dapat membuat lapisan terluar gigi mudah terkikis.
- Kebiasaan Buruk
Kebiasaan buruk seperti tidak menyikat gigi secara rutin menjadi penyebab utama gigi keropos. Tidak menyikat gigi menyebabkan bakteri menumpuk sehingga timbul berbagai masalah gigi seperti plak, karang gigi, hingga gigi keropos. Kebiasaan menggeretakkan gigi juga bisa memicu gigi keropos.
- Penyakit Medis
Beberapa penyakit medis seperti GERD atau asam lambung membuat gigi mudah keropos. Penyakit ini membuat asam lambung naik ke mulut sehingga perlahan mengikis gigi. Penderita diabetes juga rentan terkena gigi keropos karena kondisi mulut yang kering.
- Obat-obatan
Konsumsi obat-obatan tertentu seperti aspirin dan antihistamin dalam jangka panjang bisa mengurangi produksi air liur sehingga mulut menjadi kering. Kondisi ini bisa menyebabkan pengeroposan lapisan gigi sehingga membuat gigi lebih cepat keropos.
- Faktor Genetik
Kelainan genetik juga menjadi faktor penyebab gigi mudah keropos. Terdapat suatu kelainan genetik seperti amelogenesis imperfecta dan enamel hypoplasia yang membuat lapisan enamel tidak berkembang sempurna. Tanpa lapisan yang sempurna, gigi menjadi lebih mudah keropos.
Gejala Gigi Keropos
Gejala awal gigi keropos mungkin tidak disadari. Bahkan beberapa orang baru menyadari adanya gigi keropos setelah gigi tampak menghitam bahkan patah yang berarti kondisi keropos sudah serius. Berikut ini beberapa gejala awal yang umum terjadi:
- Perubahan warna gigi
- Meningkatnya sensitivitas gigi
- Muncul cekungan kecil pada permukaan gigi
- Ujung gigi berwarna transparan
Apabila dibiarkan, lama kelamaan keropos akan semakin parah dan menimbulkan gejala berikut:
- Muncul retakan pada tepi gigi
- Gigi kehitaman
- Gigi patah
- Sangat sensitif
- Gigi lebih pendek
Segera konsultasi ke dokter gigi apabila menemukan tanda dan gejala di atas. Dokter akan melakukan pemeriksaan dan menentukan jenis pengobatan yang paling tepat.
Diagnosis Gigi Keropos
Apabila menemukan beberapa gejala gigi keropos, segera konsultasikan dengan dokter gigi. Dokter akan mendiagnosis kondisi pasien dengan mengajukan beberapa pertanyaan seperti gejala, penyakit yang diderita, pola makan, dan kebiasaan menyikat gigi.
Dokter juga akan melakukan pemeriksaan fisik secara menyeluruh untuk memastikan kondisi gigi. Untuk kasus keropos ringan, dokter akan mengecek kekuatan dinding gigi. Namun untuk kasus keropos parah, biasanya dokter tidak membutuhkan waktu lama untuk memeriksa.
Pemeriksaan tambahan mungkin dibutuhkan untuk menegakkan diagnosa. Dokter mungkin akan melakukan pemeriksaan paronamik gigi untuk melihat kondisi rahang dan tingkat kerusakan gigi.
Pengobatan Gigi Keropos
Cara mengatasi gigi keropos bervariasi tergantung tingkat keparahan. Berikut ini beberapa metode pengobatan yang umumnya dilakukan untuk gigi keropos.
- Fluoride Topikal
Fluroide topikal biasanya digunakan untuk mengatasi gigi keropos ringan seperti rusaknya enamel. Dokter akan mengoleskan fluoride topikal ke permukaan gigi untuk memperkuat enamel dan mencegah pengeroposan lebih lanjut.
- Bonding
Apabila gigi keropos sudah mulai berlubang, bonding bisa jadi pengobatan yang tepat. Bonding atau filling adalah metode menambal lubang gigi dengan bahan yang terbuat dari resin atau porselen. Cara ini cukup efektif untuk menutup lubang kecil pada gigi.
- Veneer
Prosedur lain untuk mengatasi gigi keropos adalah veneer gigi. Veneer adalah cangkang yang terbuat dari resin atau porselen dan berfungsi untuk menutup permukaan gigi yang rusak. Metode ini dapat digunakan apabila kerusakan gigi sudah cukup parah.
- Crown
Pemasangan crown atau mahkota gigi buatan dapat dilakukan jika mahkota gigi asli sudah rusak namun akar masih sehat dan kuat. Crown buatan berfungsi untuk menutup gigi yang keropos sehingga kerusakan tidak terlihat.
- Perawatan Saluran Akar
Perawatan saluran akar adalah prosedur untuk mengobati kerusakan pada pulpa yang disebabkan oleh infeksi bakteri. Setelah saluran akar terbebas dari infeksi, maka lubang gigi akan ditutup sehingga terlihat bagus seperti semula.
Pencegahan Gigi Keropos
Gigi keropos dapat dicegah dengan memulai kebiasaan baik dan gaya hidup sehat. Berikut ini beberapa hal untuk menghindari gigi keropos:
- Menghindari makanan manis dan asam
- Menyikat gigi dengan benar secara rutin
- Menggunakan benang gigi
- Berkumur dengan obat kumur
- Melakukan pemeriksaan rutin
Kesimpulan
Menjaga kesehatan gigi sangat bermanfaat untuk menghindari berbagai masalah gigi dan mulut, termasuk gigi mudah keropos. Lakukan hal-hal yang dapat mencegah pengeroposan gigi seperti terapkan kebiasaan baik, kurangi makanan manis, dan lakukan pemeriksaan rutin.
Kunjungi FDC Dental Clinic minimal setiap enam bulan sekali untuk mengecek kondisi gigi. Dokter gigi akan melakukan pemeriksaan fisik menyeluruh untuk mendeteksi apakah terdapat masalah seperti plak, karang, dan gigi keropos. Semakin cepat dideteksi maka semakin mudah untuk mengatasinya.
© 2026 FDC Dental Clinic
