Informasi
15 November 2024
Gigi Berlubang pada Anak: Penyebab, Gejala, dan Cara Mengatasi
By drg. Anjasari Evanata
7.846
Gigi berlubang pada anak adalah kondisi munculnya lubang pada permukaan gigi anak, baik kecil maupun besar. Keluhan ini cukup sering dialami oleh anak-anak karena kebiasaan mengonsumsi makanan manis dan kebersihan mulut yang kurang terjaga.
Gigi berlubang dapat menimbulkan rasa nyeri tajam sehingga mengganggu aktivitas, seperti makan dan berbicara. Jika dibiarkan, bukan tidak mungkin gigi berlubang memicu masalah lain, misalnya gangguan pertumbuhan gigi permanen. Oleh sebab itu, sangat penting untuk menangani masalah gigi berlubang sedini mungkin.
Penyebab Gigi Berlubang pada Anak
Anak-anak sangat rentan mengalami gigi berlubang. Selain karena konsumsi makanan dan minuman manis, anak-anak juga belum mampu menjaga kesehatan gigi dan mulut secara mandiri. Kenali beberapa faktor yang menyebabkan munculnya lubang gigi pada anak berikut.
- Kebersihan Mulut yang Buruk
Bagi sebagian anak, menyikat gigi merupakan kegiatan yang paling tidak disukai. Tidak heran jika ada orang tua yang harus berjuang sekuat tenaga membujuk agar anak mau menyikat gigi. Padahal, menyikat gigi merupakan salah satu cara efektif untuk mencegah gigi berlubang.
Malas menyikat gigi menjadi biang kerok munculnya lubang pada gigi. Jika dibiarkan, lubang akan semakin membesar dan menimbulkan rasa nyeri.
- Konsumsi Makanan Tinggi Gula
Makanan dan minuman tinggi gula menjadi kegemaran anak-anak. Sayangnya, jenis diet ini meningkatkan risiko gigi berlubang. Makanan dan minuman manis sangat disukai oleh bakteri. Apabila tidak dibersihkan, maka bakteri akan berkembang biak dan mengikis gigi sehingga mudah berlubang.
- Kebiasaan Buruk Mengisap Dot
Mengisap dot merupakan kebiasaan yang menimbulkan beragam dampak buruk bagi gigi anak. Salah satu dampak yang ditimbulkan adalah munculnya lubang pada gigi akibat mengisap minuman manis dengan dot. Hindari kebiasaan ini jika ingin gigi anak tetap sehat bebas lubang.
- Kurang Fluoride
Anak-anak sangat disarankan menggunakan pasta gigi berfluoride saat menyikat gigi. Pasalnya, kandungan fluoride terbukti efektif menjaga lapisan gigi sehingga terhindar dari lubang kecil. Kasus gigi berlubang pada anak kerap disebabkan karena kurangnya fluoride sehingga gigi menjadi rapuh.
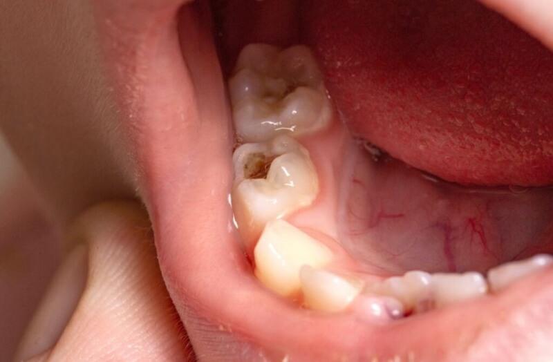
Gejala Gigi Berlubang pada Anak
Tidak sulit untuk mendeteksi kemunculan lubang gigi pada anak-anak. Perhatikan beberapa gejala berikut guna memastikan apakah gigi anak berlubang atau tidak.
- Nyeri atau rasa tidak nyaman pada gigi
- Gigi berubah warna menjadi coklat atau hitam
- Lubang yang terlihat pada gigi
- Bau mulut yang tidak sedap
Dampak Gigi Berlubang pada Anak
Gigi berlubang mungkin terlihat lazim pada anak-anak. Namun, kondisi ini tidak boleh dipandang sebelah mata karena ada berbagai dampak buruk yang mungkin ditimbulkan. Berikut ini beberapa dampak gigi berlubang jika tidak segera ditangani.
- Gangguan Mengunyah
Munculnya lubang pada gigi akan menimbulkan rasa nyeri. Rasa nyeri pada gigi berlubang akan membuat anak kesulitan untuk makan dan mengunyah. Bahkan tidak jarang anak menolak untuk makan karena rasa sakit akibat gigi berlubang.
- Risiko Infeksi
Gigi berlubang sangat rentan terkena infeksi, apalagi jika kebersihan mulut tidak terjaga. Apabila tidak segera ditangani, infeksi dapat menyebar hingga ke bagian tubuh lain seperti leher. Kondisi ini bisa mengancam keselamatan karena dapat menyebabkan infeksi yang lebih serius.
- Gangguan Perkembangan Gigi Permanen
Pertumbuhan gigi permanen bisa terganggu oleh gigi susu yang berlubang. Pasalnya, infeksi di rongga mulut bisa merusak calon gigi permanen yang berada di bawah gigi susu. Hal ini bisa menyebabkan pertumbuhan gigi permanen terganggu.
- Masalah Kesehatan Jangka Panjang
Gigi berlubang yang tidak dirawat dapat memicu timbulnya abses. Kondisi bengkak bernanah ini menandakan adanya infeksi di rongga mulut. Pada beberapa kasus, abses bisa bertahan dalam jangka waktu lama.
Cara Mengatasi Gigi Berlubang pada Anak
Para orang tua mempunyai beberapa pilihan untuk mengatasi gigi berlubang pada anak, mulai dari perawatan rumahan hingga penanganan medis. Jenis perawatan disesuaikan dengan tingkat keparahan dan kondisi anak.
- Perawatan Rumahan
Pertolongan pertama untuk rasa nyeri yang disebabkan oleh gigi berlubang adalah memberikan obat sakit gigi yang tersedia di apotek. Ada berbagai pilihan obat yang bisa digunakan untuk anak-anak, seperti paracetamol dan ibuprofen yang cukup efektif meredakan nyeri.
Perawatan rumahan juga bisa dilakukan dengan cara alami yang lebih minim risiko. Cara merawat gigi berlubang pada anak secara alami misalnya anak berkumur dengan air garam hangat untuk membunuh bakteri sekaligus meredakan nyeri. Kompres dengan air dingin juga dianjurkan untuk pertolongan pertama.
- Mengunjungi Dokter Gigi
Setelah melakukan pertolongan pertama dan sakit gigi tidak kunjung reda, ajak anak untuk berkunjung ke klinik gigi terpercaya, salah satunya adalah FDC Dental Clinic. Umumnya dokter akan memeriksa kedalaman lubang untuk mengetahui tingkat keparahan sehingga bisa menentukan penanganan yang paling tepat.
- Lakukan Perawatan yang Tepat
Ada beberapa jenis perawatan yang bisa dilakukan untuk mengatasi gigi berlubang. Untuk lubang berukuran kecil, maka dokter cukup melakukan penambalan. Namun jika lubang sudah besar dan dalam, maka dokter akan menyarankan perawatan saluran akar.
Kapan Harus Menghubungi Dokter Gigi
Pada dasarnya setiap permasalahan lubang pada gigi perlu dikonsultasikan dengan dokter. Kapan waktu yang tepat untuk mengunjungi dokter? Berikut ini beberapa kondisi yang menandakan anak perlu segera dibawa ke dokter gigi untuk pemeriksaan.
- Jika anak mengeluh nyeri atau tidak nyaman pada gigi
- Jika terlihat lubang atau perubahan warna pada gigi
- Jika perawatan rumahan tidak memberikan hasil yang signifikan.
Kesimpulan
Gigi berlubang pada anak umumnya disebabkan oleh kebersihan mulut yang tidak terjaga dan konsumsi makanan manis berlebihan. Gigi berlubang harus segera ditangani karena bisa menimbulkan dampak buruk seperti gangguan makan, infeksi, hingga muncul abses.
Agar terhindar dari berbagai dampak buruk tersebut, orang tua perlu mengedukasi anak untuk melakukan perawatan gigi sedini mungkin. Ajarkan cara menjaga kesehatan gigi seperti menyikat gigi dengan pasta gigi berfluoride secara rutin dan menghindari makanan tinggi gula.
© 2026 FDC Dental Clinic
