Scaling Gigi
26 Maret 2024
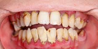
6 Bahaya Karang Gigi Jika Dibiarkan Menumpuk Parah
By fdc Dental Clinic
19.412
6 Bahaya Karang Gigi Jika Dibiarkan Menumpuk Parah
Karang gigi adalah hasil dari proses mineralisasi pada plak. Walaupun keduanya berbeda, plak adalah lapisan lembut dan lengket yang terbentuk di permukaan gigi dan di sepanjang garis gusi.
Baca juga: Cegah Karang Gigi Menumpuk Dengan Perawatan Scaling Gigi
Seseorang seringkali bisa mencegah dan mengobati penumpukan plak gigi di rumah, tetapi tidak demikian dengan plak yang telah mengeras menjadi karang gigi.
Secara umum, cara terbaik untuk menghilangkan karang gigi atau kalkulus adalah dengan meminta bantuan dokter gigi.
Dokter gigi dapat membersihkan karang gigi melalui prosedur scaling, baik secara manual maupun dengan menggunakan alat ultrasonic scaler.
Menghilangkan karang gigi yang sudah mengeras secara mandiri terasa sulit.
Berbagai metode alami untuk menghilangkan karang gigi lebih baik digunakan untuk membersihkan plak dan mencegah pembentukan karang gigi.
Bahaya karang gigi jika dibiarkan menumpuk parah
Meskipun karang gigi tidak secara langsung mengancam, dapat menimbulkan sejumlah masalah kesehatan di masa depan jika tidak diatasi.
Menurut berbagai sumber, berikut adalah beragam bahaya karang gigi jika dibiarkan menumpuk terus-menerus:
1. Menyebabkan radang gusi

Menyimpulkan dari Health Line, iritasi dan peradangan yang timbul akibat karang gigi dapat mengakibatkan penyakit gusi.
Baca juga: Manfaat Melakukan Scaling Gigi Secara Rutin di Klinik Gigi
Penyakit gusi stadium awal yang dapat disembuhkan dikenal sebagai radang gusi atau gingivitis.
Gejala radang gusi di antaranya yakni:
- Gusi berwarna merah tua
- Gusi bengkak
- Gusi berdarah saat Anda membersihkan gigi dengan benang atau sikat
- Timbul rasa nyeri
2. Penyakit periodontitis

Jika karang gigi dibiarkan terus menumpuk padahal radang gusi sudah terjadi, Anda pada gilirannya bisa mengalami penyakit periodontitis yang sulit disembuhkan.
Selain gusi bengkak, lunak, dan berdarah, berikut ini tanda-tanda penyakit periodontitis lainnya:
- Sakit saat menggunyah
- Gigi lepas
- Muncul kantong nanah di antara gusi dan gigi
Baca juga: Harga Scaling Gigi Terjangkau, Banyak Peminatnya!
3. Picu penyakit jantung dan paru-paru

Bukan tidak mungkin karang gigi yang dibiarkan terus menumpuk juga bisa memicu terjadinya penyakit jantung dan paru-paru.
Hal ini berkaitan dengan bakteri yang berkembang di karang gigi maupun gusi yang mengalami peradangan akibat karang gigi.
Bakteri penyebab periodontitis misalnya, dapat masuk ke aliran darah dan dapat meningkatkan risiko penyakit jantung dan paru-paru.
4. Menyebabkan gigi berlubang dan kerusakan gigi

Melansir WebMD, karang gigi dapat mempersulit menyikat gigi maupun membersihkan gigi dengan benang gigi (floss) seperti seharusnya.
Kondisi ini pada gilirannya dapat menyebabkan gigi berlubang dan kerusakan gigi.
Karang gigi juga dapat memicu gigi goyah dan mudah lepas sendiri.
Pasalnya, jika dibiarkan terus menumpuk, karang gigi bisa membuat tulang penyangga gigi lama-lama terkikis dan menyebabkan gigi goyah.
5. Bau mulut

Karang gigi dapat memberi lebih banyak area di permukaan mulut untuk ditempel plak, yang pada gilirannya memberi bakteri tempat yang bagus untuk tumbuh.
Bakteri-bakteri yang ada di karang gigi ini bisa juga menghasilkan bau mulut tidak sedap.
6. Ganggu penampilan
Karena karang gigi memiliki pori-pori, seperti kemeja katun atau meja granit, maka akan dengan mudah menyerap noda.
Kopi, teh, dan asap rokok akan menjadi yang paling mencolok. Jika karang gigi ini muncul hingga gigi bagian depan, bukan tidak mungkin akan mengganggu penampilan.
Mengingat berbagai efek di atas, penting bukan untuk membersihkan karang gigi?
Karang gigi idealnya dibersihkan 6 bulan sekali sesuai dengan jadwal periksa gigi secara umum ke dokter gigi.
Artikel Lain

Scaling Gigi
25 Mei 2023
Harga Scaling Gigi Terjangkau, Banyak Peminatnya!
Banyak orang ingin membersihkan karang gigi dan mempertimbangkan soal harga scaling gigi. Prosedur pembersihan yang dilakukan oleh dokter gigi ini bertujuan untuk menghilangkan plak dan karang gigi yang menumpuk di permukaan gigi. Namun, seringkali ketakutan akan mahalnya biaya ke dokter gigi menjadi hambatan bagi banyak orang.
Scaling gigi adalah salah satu perawatan pencegahan yang paling efektif untuk mencegah masalah gigi dan penyakit gusi. Melalui proses scaling gigi, plak, karang gigi, dan kotoran lainnya yang sulit dijangkau oleh sikat gigi biasa dapat dibersihkan secara menyeluruh. Selain memberikan manfaat estetika, scaling gigi juga membantu mencegah penyakit gigi seperti karies, radang gusi, dan gangguan periodontal.
Faktor Harga Scaling Gigi
Harga scaling gigi dapat bervariasi tergantung pada beberapa faktor. Mulai dari lokasi praktek dokter gigi, tingkat keparahan plak dan karang gigi, hingga biaya hidup di suatu daerah juga dapat mempengaruhi harga scaling gigi.
Meskipun harga scaling gigi mungkin terlihat mahal bagi beberapa orang, penting untuk diingat bahwa biaya scaling gigi sebanding dengan manfaat kesehatan yang diberikannya. Namun, di FDC Dental Clinic, kamu bisa menemukan harga scaling gigi yang terjangkau dan berlaku di semua cabang atau lokasi. Jadi kamu bisa menghindari biaya yang lebih tinggi untuk perawatan gigi yang lebih rumit di masa depan.
Kenapa harus scaling gigi dengan harga terjangkau?
Scaling gigi dengan harga terjangkau memiliki beberapa alasan penting, antara lain:
Kesehatan gigi yang optimal: Scaling gigi adalah prosedur pencegahan yang penting untuk menjaga kesehatan gigi dan gusi. Melalui scaling gigi, plak dan karang gigi yang menumpuk di permukaan gigi dapat dihilangkan. Jika biaya scaling gigi terlalu tinggi dan sulit dijangkau, banyak orang mungkin enggan menjalani prosedur ini. Akibatnya, mereka mungkin mengalami penumpukan plak yang lebih parah, risiko perkembangan penyakit gigi dan gusi meningkat, dan masalah kesehatan gigi yang lebih serius mungkin terjadi.
Pencegahan masalah gigi yang lebih mahal: Jika penumpukan plak dan karang gigi tidak diatasi dengan baik melalui scaling gigi, risiko terjadinya masalah gigi yang lebih serius akan meningkat. Masalah gigi seperti karies, radang gusi, infeksi, dan penyakit periodontal dapat berkembang dengan cepat. Perawatan gigi yang lebih lanjut, seperti perawatan akar, pencabutan gigi, atau perawatan periodontal, akan lebih mahal dibandingkan dengan biaya scaling gigi rutin. Dengan demikian, menjaga harga scaling gigi terjangkau adalah langkah yang bijaksana untuk mencegah biaya perawatan gigi yang lebih tinggi di masa depan.
Baca Juga : Gejala Timbulnya Karang Gigi
Aksesibilitas perawatan gigi: Perawatan gigi yang terjangkau memastikan bahwa semua orang, terlepas dari latar belakang ekonomi, dapat mengakses perawatan kesehatan gigi yang penting. Kesehatan gigi yang baik merupakan hak setiap individu, dan skalabilitas harga membantu memastikan bahwa tidak ada yang terhalang dalam menjaga kebersihan dan kesehatan gigi mereka. Dengan memberikan akses yang lebih luas terhadap perawatan gigi yang terjangkau, kita dapat meningkatkan kesehatan gigi masyarakat secara keseluruhan.
Kesadaran akan perawatan gigi: Dengan adanya perawatan gigi yang terjangkau, masyarakat menjadi lebih sadar akan pentingnya menjaga kesehatan gigi dan melakukan perawatan secara teratur. Harga yang terjangkau dapat mendorong orang untuk menjadikan perawatan gigi sebagai prioritas, meningkatkan kesadaran tentang pentingnya pencegahan, dan mendorong mereka untuk menjaga kesehatan gigi mereka dengan lebih baik.
Dengan memastikan harga scaling gigi terjangkau, kita dapat meningkatkan aksesibilitas, pencegahan, dan kesadaran akan perawatan gigi yang penting bagi kesehatan gigi dan kesejahteraan umum masyarakat. Scaling gigi yang terjangkau adalah investasi dalam menjaga kesehatan gigi yang optimal dan mencegah masalah gigi yang lebih serius di masa depan.
Baca Juga : Manfaat Pembersihan Karang Gigi
Segera Reservasi Lewat Aplikasi, Ada Harga Spesial!
Jangan biarkan harga scaling gigi menjadi penghalang bagi perawatan gigi yang penting. Kamu bisa mendapatkan harga scaling gigi mulai dari 99RB khusus bulan ini di Aplikasi FDC Dental Clinic. Download aplikasinya disini dan temukan program-program yang hematnya kelewatan!

Scaling Gigi
26 Februari 2024
Cegah Karang Gigi Menumpuk Dengan Perawatan Scaling Gigi
Cegah Karang Gigi Menumpuk Dengan Perawatan Scaling Gigi
DAFTAR ISI
- Apa itu Scaling Gigi?
- Tujuan Scaling
- Manfaat Scaling
- Kapan Harus Melakukan Scaling?
- Daftar Dokter Gigi di fdc Dental Clinic
- Prosedur Scaling
- Di Mana Melakukan Scaling Gigi?
- Berapa Biaya Scaling Gigi?
Apa itu Scaling Gigi?
Scaling gigi adalah prosedur untuk membersihkan karang gigi atau menghilangkan karang gigi (mineral yang mengeras) yang menempel di garis gusi.
Perawatan ini umum bisa kamu lakukan untuk melindungi enamel gigi di bawah gusi dan jaringan gusi dari penyakit periodontal dan penyakit lainnya seperti gigi berlubang, dll.
Selain itu, dengan gigi dan gusi yang sehat, kamu juga bisa terhindar dari masalah mulut lainnya dan kehilangan gigi.
Prosedur ini juga sering dilakukan bersamaan dengan stain cleaning atau juga perawatan fluoridasi.
Jika scaling menghilangkan karang dari permukaan gigi yang terlihat saat tersenyum, stain cleaning menghilangkan karang gigi dari akar gigi di bawah garis gusi yang sudah menghitam.
Tujuan Scaling
Prosedur scaling memiliki beberapa tujuan, yaitu:
- Untuk menghilangkan plak dan karang dari area yang tidak dapat sikat gigi jangkau.
- Menghindari atau mencegah penyakit gusi.
- Mencegah pembentukan poket (kantong terbentuk ketika penumpukan plak terus menerus menyebabkan gusi kehilangan kontak eratnya dengan gigi yang mendukung lebih banyak plak untuk disimpan). Semakin dalam kantong, semakin parah penyakit gusi berkembang.
- Membuat senyum jadi lebih percaya diri
- Mengurangi resiko bau mulut yang tidak sedap
Manfaat Scaling
Secara umum, manfaat scaling gigi adalah membuat gigi terasa bersih dan mencegah berbagai penyakit mulut dan gigi.
Manfaat akan paling terasa bagi orang yang mengalami penyakit periodontal kronis.
Bahkan perawatan kesehatan gigi ini merupakan pengobatan terstandar untuk kondisi ini.
Dengan mengurangi kantong yang terbentuk di antara gigi dan gusi, ini akan mengurangi risiko kehilangan gigi, tulang, dan jaringan yang terkait dengan penyakit periodontal kronis.
Melakukan perawatan gigi ini secara teratur juga penting untuk orang yang memiliki atau yang berisiko tinggi terhadap penyakit gusi dan masalah gigi lainnya.
Bila kamu memiliki kerusakan gigi yang signifikan, perokok atau mengidap diabetes, maka prosedur ini bisa meminimalisir risiko masalah mulut dan gigi.
Baca juga : Manfaat Melakukan Scaling Gigi Secara Rutin di Klinik Gigi
Perawatan gigi ini juga bisa mengurangi risiko perlunya perawatan lebih lanjut, yang mungkin termasuk perawatan yang lebih intensif, tidak nyaman dan mahal sebagai alternatif, seperti saluran akar, pencabutan gigi dan kebutuhan untuk menyesuaikan mahkota atau veneer.
Kapan Harus Melakukan Scaling?
Jika ditanya kapan harus melakukan scaling gigi, dokter gigi biasanya akan merekomendasikan scaling gigi dan stain cleaning jika kamu memiliki tanda-tanda penyakit periodontal kronis.
Tanda-tanda penyakit tersebut bisa meliputi gusi bengkak, berwarna merah, nyeri saat disentuh, dan mudah berdarah.
:format(webp)/article/oYFZ-YBKqTOzAQFrSxFuk/original/045486400_1568444089-Cara-Mengatasi-Gusi-Bengkak-by-sonriadentalclinic.co.uk.jpg)
Nah, prosedur ini dapat membantu menghentikan efek berbahaya dari kondisi ini dan menjaga kesehatan mulut.
Penyakit periodontal kronis terjadi ketika bakteri dalam plak menyebabkan gusi terlepas dari gigi. Hal ini menyebabkan kantong besar tumbuh di antara gigi dan gusi.
Akibatnya, akan ada lebih banyak bakteri dapat tumbuh di sana, yang tidak dapat dijangkau dengan menyikat gigi.
Jika tidak diobati, penyakit periodontal kronis dapat menyebabkan:
- Kehilangan tulang dan jaringan gigi.
- Kehilangan gigi.
- Gigi lepas.
- Gigi goyang.
Beberapa hal yang bisa meningkatkan risiko penyakit periodontal kronis adalah:
- Kebersihan gigi yang buruk.
- Merokok.
- Penuaan.
- Perubahan hormon.
- Gizi buruk atau malnutrisi.
- Riwayat keluarga.
- Kondisi medis lainnya.
Karang gigi yang tidak kamu bersihkan dapat menimbulkan berbagai masalah. Ada 4 Hal yang Terjadi Jika Karang Gigi Tidak Dibersihkan.
Seberapa sering scaling harus kamu lakukan tergantung pada kondisi kebersihan mulut masing-masing orang. Perawatan gigi ini sebaiknya kamu lakukan setiap enam bulan sekali, untuk menghilangkan bau mulut.
Namun, bagi orang yang memiliki kecenderungan lebih tinggi untuk penumpukan plak atau sering mengalami pendarahan dari gusi, ia perlu melakukan scaling setiap dua hingga empat bulan.
Jadi, periksakan kondisi gigi dan konsultasikan hal ini pada dokter gigi.
Daftar Dokter Gigi di fdc Dental Clinic
Sebelum melakukan scaling gigi, kamu juga bisa melakukan reservasi & memilih dokter di aplikasi atau website fdc Dental Clinic. Ada 400+ dokter gigi yang siap membantu kamu mendapatkan solusi plak & karang gigi yang bisa kamu pilih di 40 cabang yang tersebar di Jabodetabek, Bandung, Karawang, Surabaya, Jogja, Sidoarjo, Malang, Semarang, & Bali.
Nah, untuk melihat daftar dokter gigi yang sudah berpengalaman, lengkap dengan review customers untuk melakukan perawatan scaling gigi kamu bisa langsung melakukan reservasi melalui aplikasi atau website fdc Dental Clinic.
Bagaimana Prosedur Scaling?
Berikut prosedur scaling mulai dari persiapan, selama perawatan, hingga setelahnya:
Persiapan
Sebelum prosedur, dokter gigi biasanya akan membuat mulut kamu mati rasa dengan anestesi lokal dan melihat kondisi gigi menggunakan intra oral camera.
Selama prosedur
Kemudian, dengan menggunakan alat getar bernama ultrasonic scaler, dokter gigi akan melakukan proses scaling gigi.
Berikut ini langkah dan tahapan dalam prosedur scaling:
- Ujung logam yang bergetar pada scaler akan membersihkan karang gigi dari gigi di atas garis gusi.
- Semprotan air pada alat tersebut akan membersihkan karang gigi dan membersihkan plak dari kantong gusi.
- Dokter akan menggunakan scaler dan pengikis gigi manual (kuret) untuk menghilangkan sisa kecil karang gigi.
Scaling gigi dan stain cleaning bisa menyebabkan ketidaknyamanan sementara setelah prosedur selesai.
Namun, risiko efek samping dari prosedur ini bisa dibilang sangat minimal.
Orang dengan kondisi jantung tertentu, seperti endokarditis, atau yang memiliki katup jantung sintetis mungkin perlu minum antibiotik sebelum menjalani prosedur perawatan gigi.
Obat ini bisa menurunkan risiko infeksi bakteri.
Tanyakan kepada dokter gigi dan ahli jantung jika perlu mengambil langkah pencegahan ini.
Setelah prosedur
Setelah melakukan scaling, gigi kamu mungkin akan terasa tidak nyaman dan sensitif selama beberapa hari.
Untuk mencegah infeksi dan meredakan rasa nyeri, dokter gigi bisa meresepkan obat-obatan.
Ahli kesehatan tersebut juga akan menjadwalkan kunjungan lagi untuk melihat pemulihan gusi dan mengukur kedalaman kantong kamu.
Perawatan gigi di rumah setelah scaling juga penting untuk membantu mencegah penyakit gusi menjadi lebih serius atau muncul kembali.
Perawatan tersebut termasuk menyikat gigi dua kali sehari dan flossing gigi secara teratur.
Kamu juga harus mengonsumsi makanan yang sehat dan bergizi seimbang, serta menemui dokter gigi untuk pembersihan secara berkala guna mencegah karang gigi kembali.
Di Mana Melakukan Scaling Gigi?
Scaling gigi dapat kamu lakukan di klinik gigi, puskesmas, rumah sakit, dan pusat layanan kesehatan lainnya yang memiliki jasa dokter gigi dan peralatan yang memadai.
Berapa Biaya Scaling Gigi?
Biaya scaling gigi biasanya relatif tergantung banyak atau sedikitnya plak dan karang gigi, semakin banyak biasanya akan semakin mahal, tetapi di fdc Dental Clinic semua harganya sama & sangat terjangkau yaitu Rp 99.000 untuk pengguna baru aplikasi.
Baca juga : Harga Scaling Gigi Terjangkau, Banyak Peminatnya!
© 2026 FDC Dental Clinic
