Tambal Gigi
7 Maret 2024
5 Bahaya Jika Membiarkan Gigi Berlubang Terlalu Lama
By fdc Dental Clinic
11.493
5 Bahaya Jika Membiarkan Gigi Berlubang Terlalu Lama
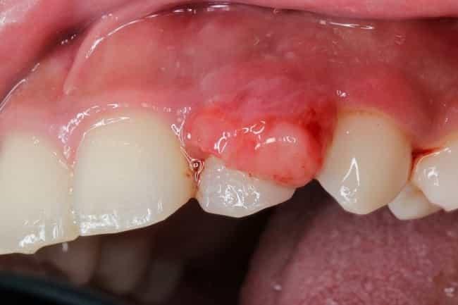
Bahaya gigi berlubang – Mungkin banyak dari kalian yang pernah ataupun saat ini sedang mengalami gigi berlubang. Penyakit gigi yang satu ini sangatlah sering dijumpai, mulai dari anak-anak sampai usia dewasa.
Gigi berlubang harus dicegah sejak dini agar tidak timbul lubang yang makin lama akan lebih besar lagi. Jika lubang pada gigi mulai membesar akan terasa nyeri, rasa nyeri akan mengganggu aktifitas kamu sehari-hari pastinya.
Perlu diketehui gigi berlubang merupakan salah satu penyakit gigi yang banyak dijumpai. Gigi berlubang timbul akibat kamu malas menjaga kesehatan gigi, jika kamu malas menjaga kesehatan gigi.
Tidak hanya gigi berlubang yang dapat timbul namun penyakit gigi lainnya juga nanti akan timbul nantinya. Penyakit gigi bisa timbul akibat sisa makanan yang masih tertinggal di gigi.
Untuk mencegah gigi berlubang, kamu bisa melakukan perawatan rutin dirumah dengan menyikat gigi, menyikat atau menggosok gigi secara rutin setiap dua kali sehari akan membuat kamu terhindar dari penyakit gigi.
Selain perawatan rutin dirumah, kamu juga wajib periksa kesehatan gigi ke dokter gigi setiap 6 bulan sekali.
Baca juga: Cegah Karang Gigi Menumpuk Dengan Perawatan Scaling Gigi
Perawatan ke dokter gigi setiap 6 bulan sekali, bertujuan agar kamu terhindar dari penyakit gigi serta kamu juga dapat mendeteksi penyakit sejak dini. Jangan tunggu sampai sakit baru ke dokter gigi, ini merupakan hal yang salah.
Jika kamu telah merasakan sakit yang hebat baru kedokter gigi, kamu mungkin akan mengeluarkan biaya yang tidak sedikit untuk perawatan dan pengobatannya.
Hal ini dikarenakan penyakit yang kamu derita sudah semakin parah, tidak seperti jika kamu melakukan perawatan rutin setiap 6 bulan sekali.
Mungkin kamu masih menganggap sepele jika gigi kamu berlubang. Namun dibalik itu semua terdapat bahaya gigi berlubang yang dapat menyerang kamu.
1. Mempengaruhi struktur rahang
Gigi berlubang yang terlalu lama dibiarkan akan membahayakan bagi gigi lainnya yang masih sehat. Selain pada gigi lainnya, gigi berlubang yang terlalu lama juga akan menyebabkan masalah pada gusi. Gigi yang berlubang bisa mengakibatkan gusi kamu infeksi.
Selain mempengaruhi kesehatan gigi lainnya dan juga gusi, gigi berlubang juga berpengaruh pada struktur rahang kamu nantinya. Gigi berlubang yang terlalu lama dibiarkan akan menyebabkan kerusakan pada bagian tulang rahang.
2. Menyebabkan gigi bisa mati
Gigi mati hanya bisa diketahui oleh dokter gigi, dengan pemeriksaan rutin. Biasanya jika terdapat gigi mati, kamu tidak akan merasakan sakit apapun.
Bagian pulpa pada gigi terdapat pembuluh darah serta saraf jika ini tidak berfungsi maka akan bisa dinyatakan bahwa gigi tersebut adalah gigi mati. Kamu bisa mendeteksi gigi mati dengan cara melihat warna gigi.
Warna gigi yang mati biasanya berwarna kuning hingga yang paling parah adalah berwarna hitam. Jika kamu mengalami kondisi seperti ini kamu harus segera periksa ke dokter gigi untuk penanganan lebih lanjut.
3. Menyebabkan gigi patah
Pada area gigi yang berlubang cenderung mudah patah, ini bisa terjadi apabila kamu menggigit makanan yang bertekstur keras diarea gigi yang berlubang. Makanan yang terlalu keras atau alot sangatlah sulit digigit, dan membuat tekanan pada gigi jadi lebih besar.
Gigi yang patah sama dengan gigi mati, kamu tidak akan merasakan sakit jika mengalaminya. Namun kamu harus segera ke dokter gigi untuk memeriksakannya, serta untuk meminimalisir penyakit lainnya.
4. Menyebabkan penyakit gusi
Jika gusi sudah terserang maka hal yang akan kamu rasakan adalah nyeri. Biasanya gusi akan bengkak disertai warna yang lebih merah serta gusi mudah berdarah saat kamu melakukan sikat gigi.
5. Menyebabkan terserang penyakit stroke
Ini sangat berbahaya dapat menyebabkan kematian, gigi berlubang yang awalnya hanya menyerang gusi lama kelamaan akan menyebabkan stroke.
Penyakit gusi yang tidak kamu segera obati akan membawa banyak kuman penyakit yang dapat menyebabkan penyumbatan pembuluh darah. Penyumbatan pembuluh darah pada otak akan menyebabkan kamu terserang penyakit stroke.
Jika kamu tidak ingin mengalami penyakit diatas, sebaiknya kamu melakukan perawatan gigi secara rutin.
Ikuti saran dokter untuk mendapatkan kesehatan gigi yang maksimal, jangan malas untuk menyikat gigi setiap 2 kali sehari.
Kamu juga bisa menggunakan obat kumur dan juga benang gigi untuk mendapatkan hasil maksimal.
Itulah tadi bahaya dari gigi berlubang yang dibiarkan terlalu lama. Menjaga kesehatan gigi secara rutin sangatlah menjadi hal yang wajib kamu lakukan setiap hari.
Menggosok gigi secara rutin sangatlah efektif untuk membuat kesehatan gigi tetap terjaga dengan baik.
Nah ada baiknya kamu menjaga kesehatan gigi sejak dini ya FDCiers.
Jangan lupa untuk memeriksakan gigi kamu paling tidak 6 bulan sekali di FDC Dental Clinic. Kepoin Websitenyanya juga untuk info promo lainnya.
Lagi ada promo baru loh FDCiers, buruan liat Websitenya sebelum ketinggalan. Promo Terbatas!!
Artikel Lain

Scaling Gigi
26 Februari 2024
Cegah Karang Gigi Menumpuk Dengan Perawatan Scaling Gigi
Cegah Karang Gigi Menumpuk Dengan Perawatan Scaling Gigi
DAFTAR ISI
- Apa itu Scaling Gigi?
- Tujuan Scaling
- Manfaat Scaling
- Kapan Harus Melakukan Scaling?
- Daftar Dokter Gigi di fdc Dental Clinic
- Prosedur Scaling
- Di Mana Melakukan Scaling Gigi?
- Berapa Biaya Scaling Gigi?
Apa itu Scaling Gigi?
Scaling gigi adalah prosedur untuk membersihkan karang gigi atau menghilangkan karang gigi (mineral yang mengeras) yang menempel di garis gusi.
Perawatan ini umum bisa kamu lakukan untuk melindungi enamel gigi di bawah gusi dan jaringan gusi dari penyakit periodontal dan penyakit lainnya seperti gigi berlubang, dll.
Selain itu, dengan gigi dan gusi yang sehat, kamu juga bisa terhindar dari masalah mulut lainnya dan kehilangan gigi.
Prosedur ini juga sering dilakukan bersamaan dengan stain cleaning atau juga perawatan fluoridasi.
Jika scaling menghilangkan karang dari permukaan gigi yang terlihat saat tersenyum, stain cleaning menghilangkan karang gigi dari akar gigi di bawah garis gusi yang sudah menghitam.
Tujuan Scaling
Prosedur scaling memiliki beberapa tujuan, yaitu:
- Untuk menghilangkan plak dan karang dari area yang tidak dapat sikat gigi jangkau.
- Menghindari atau mencegah penyakit gusi.
- Mencegah pembentukan poket (kantong terbentuk ketika penumpukan plak terus menerus menyebabkan gusi kehilangan kontak eratnya dengan gigi yang mendukung lebih banyak plak untuk disimpan). Semakin dalam kantong, semakin parah penyakit gusi berkembang.
- Membuat senyum jadi lebih percaya diri
- Mengurangi resiko bau mulut yang tidak sedap
Manfaat Scaling
Secara umum, manfaat scaling gigi adalah membuat gigi terasa bersih dan mencegah berbagai penyakit mulut dan gigi.
Manfaat akan paling terasa bagi orang yang mengalami penyakit periodontal kronis.
Bahkan perawatan kesehatan gigi ini merupakan pengobatan terstandar untuk kondisi ini.
Dengan mengurangi kantong yang terbentuk di antara gigi dan gusi, ini akan mengurangi risiko kehilangan gigi, tulang, dan jaringan yang terkait dengan penyakit periodontal kronis.
Melakukan perawatan gigi ini secara teratur juga penting untuk orang yang memiliki atau yang berisiko tinggi terhadap penyakit gusi dan masalah gigi lainnya.
Bila kamu memiliki kerusakan gigi yang signifikan, perokok atau mengidap diabetes, maka prosedur ini bisa meminimalisir risiko masalah mulut dan gigi.
Baca juga : Manfaat Melakukan Scaling Gigi Secara Rutin di Klinik Gigi
Perawatan gigi ini juga bisa mengurangi risiko perlunya perawatan lebih lanjut, yang mungkin termasuk perawatan yang lebih intensif, tidak nyaman dan mahal sebagai alternatif, seperti saluran akar, pencabutan gigi dan kebutuhan untuk menyesuaikan mahkota atau veneer.
Kapan Harus Melakukan Scaling?
Jika ditanya kapan harus melakukan scaling gigi, dokter gigi biasanya akan merekomendasikan scaling gigi dan stain cleaning jika kamu memiliki tanda-tanda penyakit periodontal kronis.
Tanda-tanda penyakit tersebut bisa meliputi gusi bengkak, berwarna merah, nyeri saat disentuh, dan mudah berdarah.
:format(webp)/article/oYFZ-YBKqTOzAQFrSxFuk/original/045486400_1568444089-Cara-Mengatasi-Gusi-Bengkak-by-sonriadentalclinic.co.uk.jpg)
Nah, prosedur ini dapat membantu menghentikan efek berbahaya dari kondisi ini dan menjaga kesehatan mulut.
Penyakit periodontal kronis terjadi ketika bakteri dalam plak menyebabkan gusi terlepas dari gigi. Hal ini menyebabkan kantong besar tumbuh di antara gigi dan gusi.
Akibatnya, akan ada lebih banyak bakteri dapat tumbuh di sana, yang tidak dapat dijangkau dengan menyikat gigi.
Jika tidak diobati, penyakit periodontal kronis dapat menyebabkan:
- Kehilangan tulang dan jaringan gigi.
- Kehilangan gigi.
- Gigi lepas.
- Gigi goyang.
Beberapa hal yang bisa meningkatkan risiko penyakit periodontal kronis adalah:
- Kebersihan gigi yang buruk.
- Merokok.
- Penuaan.
- Perubahan hormon.
- Gizi buruk atau malnutrisi.
- Riwayat keluarga.
- Kondisi medis lainnya.
Karang gigi yang tidak kamu bersihkan dapat menimbulkan berbagai masalah. Ada 4 Hal yang Terjadi Jika Karang Gigi Tidak Dibersihkan.
Seberapa sering scaling harus kamu lakukan tergantung pada kondisi kebersihan mulut masing-masing orang. Perawatan gigi ini sebaiknya kamu lakukan setiap enam bulan sekali, untuk menghilangkan bau mulut.
Namun, bagi orang yang memiliki kecenderungan lebih tinggi untuk penumpukan plak atau sering mengalami pendarahan dari gusi, ia perlu melakukan scaling setiap dua hingga empat bulan.
Jadi, periksakan kondisi gigi dan konsultasikan hal ini pada dokter gigi.
Daftar Dokter Gigi di fdc Dental Clinic
Sebelum melakukan scaling gigi, kamu juga bisa melakukan reservasi & memilih dokter di aplikasi atau website fdc Dental Clinic. Ada 400+ dokter gigi yang siap membantu kamu mendapatkan solusi plak & karang gigi yang bisa kamu pilih di 40 cabang yang tersebar di Jabodetabek, Bandung, Karawang, Surabaya, Jogja, Sidoarjo, Malang, Semarang, & Bali.
Nah, untuk melihat daftar dokter gigi yang sudah berpengalaman, lengkap dengan review customers untuk melakukan perawatan scaling gigi kamu bisa langsung melakukan reservasi melalui aplikasi atau website fdc Dental Clinic.
Bagaimana Prosedur Scaling?
Berikut prosedur scaling mulai dari persiapan, selama perawatan, hingga setelahnya:
Persiapan
Sebelum prosedur, dokter gigi biasanya akan membuat mulut kamu mati rasa dengan anestesi lokal dan melihat kondisi gigi menggunakan intra oral camera.
Selama prosedur
Kemudian, dengan menggunakan alat getar bernama ultrasonic scaler, dokter gigi akan melakukan proses scaling gigi.
Berikut ini langkah dan tahapan dalam prosedur scaling:
- Ujung logam yang bergetar pada scaler akan membersihkan karang gigi dari gigi di atas garis gusi.
- Semprotan air pada alat tersebut akan membersihkan karang gigi dan membersihkan plak dari kantong gusi.
- Dokter akan menggunakan scaler dan pengikis gigi manual (kuret) untuk menghilangkan sisa kecil karang gigi.
Scaling gigi dan stain cleaning bisa menyebabkan ketidaknyamanan sementara setelah prosedur selesai.
Namun, risiko efek samping dari prosedur ini bisa dibilang sangat minimal.
Orang dengan kondisi jantung tertentu, seperti endokarditis, atau yang memiliki katup jantung sintetis mungkin perlu minum antibiotik sebelum menjalani prosedur perawatan gigi.
Obat ini bisa menurunkan risiko infeksi bakteri.
Tanyakan kepada dokter gigi dan ahli jantung jika perlu mengambil langkah pencegahan ini.
Setelah prosedur
Setelah melakukan scaling, gigi kamu mungkin akan terasa tidak nyaman dan sensitif selama beberapa hari.
Untuk mencegah infeksi dan meredakan rasa nyeri, dokter gigi bisa meresepkan obat-obatan.
Ahli kesehatan tersebut juga akan menjadwalkan kunjungan lagi untuk melihat pemulihan gusi dan mengukur kedalaman kantong kamu.
Perawatan gigi di rumah setelah scaling juga penting untuk membantu mencegah penyakit gusi menjadi lebih serius atau muncul kembali.
Perawatan tersebut termasuk menyikat gigi dua kali sehari dan flossing gigi secara teratur.
Kamu juga harus mengonsumsi makanan yang sehat dan bergizi seimbang, serta menemui dokter gigi untuk pembersihan secara berkala guna mencegah karang gigi kembali.
Di Mana Melakukan Scaling Gigi?
Scaling gigi dapat kamu lakukan di klinik gigi, puskesmas, rumah sakit, dan pusat layanan kesehatan lainnya yang memiliki jasa dokter gigi dan peralatan yang memadai.
Berapa Biaya Scaling Gigi?
Biaya scaling gigi biasanya relatif tergantung banyak atau sedikitnya plak dan karang gigi, semakin banyak biasanya akan semakin mahal, tetapi di fdc Dental Clinic semua harganya sama & sangat terjangkau yaitu Rp 99.000 untuk pengguna baru aplikasi.
Baca juga : Harga Scaling Gigi Terjangkau, Banyak Peminatnya!
© 2026 FDC Dental Clinic
